Naše usluge
U našoj ordinaciji pružamo cjelovite dentalne usluge s posebnim naglaskom na implantološku i protetsku terapiju. Svakom pacijentu pristupamo individualno, uz digitalno planiranje i jasno definirane terapijske korake.


(digitalno planirani implantološki zahvati)
U našoj ordinaciji na otoku Viru, u blizini Zadra, dentalnu implantologiju provodimo uz primjenu suvremenih metoda digitalnog 3D planiranja i vlastitu in-house izradu kirurških vodilica.Ovakav pristup omogućuje visoku razinu preciznosti, predvidljivosti i sigurnosti zahvata, uz minimalnu invazivnost i kraće vrijeme oporavka u odnosu na klasične metode.Implantološka terapija planira se individualno, s ciljem dugotrajnog funkcionalnog i estetskog rješenja prilagođenog svakom pacijentu.


Ortodoncija
Zahvaljujući dugogodišnjem iskustvu i stalnoj edukaciji u ortodonciji, u stomatološkoj ordinaciji na Viru uspješno rješavamo 90% zubnih anomalija. Naš stručni tim brine o pravovremenoj zamjeni mliječnih zubi, provodi fiksnu terapiju bravicama te nudi Alignere vlastite proizvodnje za savršen osmijeh. Kao opći stomatolog specijaliziran za ortodonciju, pružamo vrhunsku njegu prilagođenu svakom pacijentu – posjetite nas i ispravite svoje zube uz najmodernije metode!
Estetika
U našoj stomatološkoj ordinaciji na otoku Viru pružamo cjelovita protetska rješenja – od krunica i mostova do složenih fiksnih radova na implantatima, uključujući All-on-X terapije. -Protetika se planira digitalno, uz precizno skeniranje i individualnu prilagodbu svakom pacijentu, s ciljem dugotrajnog funkcionalnog i estetskog rezultata. -Poseban naglasak stavljamo na usklađivanje protetskih rješenja s implantološkom terapijom kako bi krajnji ishod bio stabilan, predvidljiv i dugoročno održiv.
→
→
→
→
U stomatološkoj ordinaciji dr. Ante Lucin na Viru nudimo vrhunske usluge estetske stomatologije za savršen osmijeh prilagođen vašim željama. Specijalizirani smo za profesionalno izbjeljivanje zubi, postavljanje estetskih ljuskica i korekciju oblika zubi uz najnovije tehnike i materijale. Naš cilj je poboljšati izgled vašeg osmijeha uz brze i sigurne postupke, osiguravajući prirodan i dugotrajan rezultat. Posjetite nas na otoku Viru i prepustite svoje zube stručnjacima estetske stomatologije!
Recenzije pacijenata
Pročitajte iskustva naših zadovoljnih pacijenata i njihovih osmijeha.
Izvrsna usluga i profesionalnost! Stvarno sam zadovoljan svojim novim osmijehom.
Marko Jurić
Vir, Hrvatska
Osoblje je izuzetno ljubazno, a tretmani su bezbolni. Preporučujem svima koji traže kvalitetnu stomatološku skrb na otoku Viru.
Ana Kovač
Vir, Hrvatska
★★★★★
★★★★★
Prije i Poslije
Primjeri naših radova
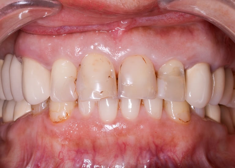
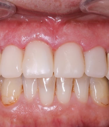
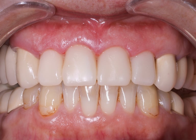
Cirkonske krunice
Primjer estetske sanacije fronte s 4 cirkonske krunice (4x250€)




Izbjeljivanje zubi
Primjer ordinacijskog izbjeljivanja zubi (350€)
Stomatološka ordinacija Lucin - Vir
Vrhunska dentalna skrb na otoku Viru uz suvremenu digitalnu tehnologiju, individualan pristup i moderne protetske terapije.Ordinacija s dugogodišnjim iskustvom u radu s pacijentima iz Hrvatske i inozemstva.
Fiksni tel. +38523363449
Mobitel +385915013062
© 2025. Stomatološka ordinacija Lucin. Sva prava pridržana.
